
ជាការពិតណាស់ ការឈឺក្បាលអាចត្រូវបានគេរកឃើញបណ្ដាលមកពីមូលហេតុជាច្រើន ក្នុងនោះរួមទាំងថ្គាមទាល់ដែលកំពុងដុះឡើង បង្កឱ្យឈឺចាប់ ឬត្រូវការដកចេញនោះផងដែរ។ ខាងក្រោមនេះ គឺជាព័ត៌មានទូទៅអំពីវា៖
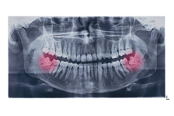
ថ្គាមទាល់ដែលកំពុងដុះឡើង
ថ្គាមទាល់របស់អ្នកជាធម្មតាដុះឡើងនៅចន្លោះអាយុ ១៧ ទៅ ២៥ ឆ្នាំ។ ពួកវាជាបណ្តុំធ្មេញទីបីរបស់អ្នក ដែលមានទីតាំងនៅខាងក្រោយមាត់របស់អ្នក។ មនុស្សភាគច្រើនមានថ្គាមទាល់ចំនួនបួន ពីរនៅខាងលើ និងពីរនៅខាងក្រោម។
យោងតាមសមាគមធ្មេញអាម៉េរិក (ADA) ថ្គាមទាល់របស់អ្នកចាប់ផ្តើមផ្លាស់ទីតាមឆ្អឹងថ្គាមរបស់អ្នក ហើយនៅទីបំផុត វាក៏ដុះចេញតាមអញ្ចាញធ្មេញរបស់អ្នក ដែលការដុះនេះអាចបណ្តាលឱ្យមានអារម្មណ៍មិនស្រួល រួមទាំងឈឺក្បាលផងដែរ។

ថ្គាមទាល់ដែលរងផលប៉ះពាល់
ប្រសិនបើថ្គាមទាល់របស់អ្នកលូតលាស់មិនត្រឹមត្រូវ វានឹងបង្កឱ្យមានផលប៉ះពាល់ដល់រាងកាយ ព្រោះវាអាចនឹងមិនមានកន្លែងដុះគ្រប់គ្រាន់នៅក្នុងមាត់អ្នក ដែលអាចបណ្តាលឱ្យ៖
- លេចសាច់ប៉ោងឡើងនៅក្នុងមាត់
- ជាប់គាំងនៅក្នុងថ្គាម
- ប៉ះពាល់ដល់ថ្គាមផ្សេងទៀត
នៅពេលដែលថ្គាមទាល់ដុះចូលទៅក្នុងមាត់ដែលមិនមានកន្លែងគ្រប់គ្រាន់សម្រាប់ពួកគេ វាអាចបណ្តាលឱ្យធ្មេញផ្សេងទៀតផ្លាស់ប្ដូរឬរង្គើ ដែលបណ្តាលឱ្យមានការខាំមិនត្រឹមត្រូវ។ ការខាំមិនត្រឹមត្រូវអាចធ្វើឱ្យថ្គាមក្រោមរបស់អ្នករង្គើក ហើយវាអាចបណ្តាលឱ្យមានការឈឺចាប់ រួមទាំងឈឺក្បាលផងដែរ។

តើយើងអាចការពារថ្គាមទាល់កុំឱ្យដុះទេ?
យើងមិនអាចការពារការដុះថ្គាមទាល់បានទេ។ ទោះយ៉ាងណា ទន្តបណ្ឌិតអាចតាមដានការលូតលាស់ និងការកើតនៃថ្គាមទាល់របស់អ្នក ក្នុងអំឡុងពេលពិនិត្យមាត់ធ្មេញជាប្រចាំរបស់អ្នក។ កាំរស្មីអ៊ិចធ្មេញគឺមានសមត្ថភាពអាចបង្ហាញពីការដុះថ្គាមទាល់ មុនពេលមានរោគសញ្ញា។
ឱសថបំបាត់ការឈឺធ្មេញ និងឈឺក្បាល
ប្រសិនបើអ្នកកំពុងជួបប្រទះការឈឺចាប់អញ្ចាញធ្មេញ ឬឈឺក្បាលដែលផ្ដើមចេញពីការលេចចេញ ឬប៉ះពាល់ដល់ថ្គាមទាល់ ខាងក្រោមនេះជាឱសថនៅផ្ទះមួយចំនួនដែលជួយអ្នកនូវការធូរស្រាល។

លាងជម្រះជាមួយទឹកអំបិល
ការលាងសម្អាតធ្មេញដោយអំបិលក្នុងទឹកក្ដៅឧណ្ហៗ គឺជាឱសថដ៏ពេញនិយមមួយសម្រាប់ការឈឺចាប់ដោយសារធ្មេញទាល់។ ប្រភពស្រាវជ្រាវបានបង្ហាញថា ការលាងសម្អាតជាមួយសូដ្យូមក្លរ (អំបិល) និងទឹកក្ដៅឧណ្ណៗអាចជួយអញ្ចាញធ្មេញឱ្យមានសុខភាពល្អ និងសម្លាប់បាក់តេរី។ ចូរចាំថា ការរក្សាមាត់របស់អ្នកឱ្យគ្មានបាក់តេរីមានប្រយោជន៍ជាពិសេសសម្រាប់ថ្គាមទាល់ដែលទើបនឹងកើត។ កន្លែងនោះពិបាកសម្អាត ហើយថ្គាមទាល់អាចបណ្តាលឱ្យកើតជំងឺអញ្ចាញធ្មេញ នៅពេលដែលវាទម្លុះអញ្ចាញធ្មេញរបស់អ្នក។ ទន្ទឹមនឹងការលាងជម្រះជាមួយអំបិលក្នុងទឹកក្ដៅឧណ្ហៗ អនាម័យមាត់ប្រចាំថ្ងៃត្រឹមត្រូវក៏នឹងធ្វើឱ្យមាត់របស់អ្នកស្អាត និងគ្មានបាក់តេរីផងដែរ។ នេះរួមបញ្ចូលទាំងការដុសសម្អាតពីរដងក្នុងមួយថ្ងៃ និងការដុសខាត់យ៉ាងតិចម្ដងក្នុងមួយថ្ងៃ។
លេបថ្នាំអាស្ពីរីន
ថ្នាំអាស្ពីរីន គឺជាឱសថសម្រាប់ការឈឺក្បាល ហើយក៏អាចជួយសម្រួលការឈឺចាប់ដែលបណ្តាលមកពីថ្គាមទាល់ផងដែរ។ ការសិក្សាឆ្នាំ ២០១៥ បានបង្ហាញថាថ្នាំអាស្ពីរីនមានប្រសិទ្ធភាពក្នុងការបំបាត់ការឈឺចាប់ធ្មេញ។ ទោះយ៉ាងណា សូមអានការណែនាំមុនប្រើប្រាស់ ហើយកុំប្រើលើសពីកម្រិតដែលបានណែនាំ។
ការព្យាបាលដោយទឹកក្ដៅនិងត្រជាក់
អ្នកក៏អាចសាកល្បងការព្យាបាលដោយទឹកក្ដៅ និងត្រជាក់បានផងដែរ។ ការដាក់ថង់ទឹកកកលើថ្ពាល់របស់អ្នកអាចជួយកាត់បន្ថយការឈឺចាប់ រលាក និងហើម ខណៈពេលដែលការស្អំទឹកក្ដៅ អាចបន្ធូរសាច់ដុំតានតឹង និងធ្វើឱ្យលំហូរឈាមទៅកាន់តំបន់នោះប្រសើរឡើង។ អត្ថប្រយោជន៍ទាំងនេះអាចជួយសម្រាល ឬជៀសវាងការឈឺក្បាល។

ដកចេញ
ថ្គាមទាល់ខ្លះ អាចបណ្តាលឱ្យមិនស្រួល រួមទាំងការឈឺក្បាល នៅពេលដែលពួកវារំកិលឡើងតាមឆ្អឹងថ្គាមរបស់អ្នក ហើយផុសចេញពីអញ្ចាញធ្មេញរបស់អ្នក ដែលត្រូវឱ្យមានការវះកាត់យកវាចេញ។ ប៉ុន្តែការវះកាត់ដើម្បីដកថ្គាមទាល់ ក៏អាចបណ្តាលឱ្យឈឺក្បាលក្រោយការវះកាត់ផងដែរ។ ដូច្នេះ កំណត់ពេលណាត់ជួបជាមួយទន្តបណ្ឌិត ប្រសិនបើអ្នកមាន៖
- ការឈឺចាប់រ៉ាំរ៉ៃស្រួចស្រាវ
- ឈឺក្បាលញឹកញាប់
- ទឹកមាត់លាយឈាម
- ហើម។ល៕



